トップページ
むし歯・歯周病予防
審美歯科
ホワイトニング
インプラント
入れ歯
診療時間:9:00〜18:00 ※昼も休まず診療しています
休診日 :日曜・祝日
〒036-8001 青森県弘前市大字代官町75-1
日本矯正歯科学会
認定医
遠藤陽子
色々な事情で矯正治療を受けれずに大人になって矯正治療を諦めていませんか?矯正治療は60歳からでも可能です。やりたいときが適齢期。一本だけのプチ矯正も可能です。歯並びがきれいになり、かみ合わせが良くなると、肩こりや腰痛など改善の可能性もあり全身の健康にもいいことがたくさん。若々しく健やかに年を重ねるためにお役に立てます。横顔スッキリ、小顔効果など、見た目のコンプレックスを解消しストレスをなくしましょう。
大人の一本だけ矯正
すきっ歯や逆咬合でずっと気になっている方は、一本だけでも治療できる場合がありますのでお気軽に相談にご来院ください。
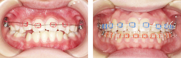
「カラーゴム」「シールプレート」で
アクセサリー感覚で装着
※お口の中の症状によって使えない場合もあります
目立たない矯正器具
※お口の中の症状によって使えない場合もあります
ホワイトワイヤー
ホワイトワイヤー矯正は白や透明色の目立たない色のブラケットです。非金属製で金属アレルギーの方でも使用が可能です。
インビザライン
透明で薄いマウスピース型の装置です。自分で取り外し可能です。
治療期間が少し長くなるリスクがあります。
裏側矯正:フランス製ハーモニー
歯の裏側に装着するブラケットです。表からは見えないので周囲の人から気付かれません。
一例「フランス製ハーモニー」
装着中の違和感が改善・装着が簡単治療期間の短縮・汚れがたまりにくいなど利点があります。
表側矯正
従来のイメージの金属色の目立つ装置は年々開発が進んで現在では小さくて目立たず、痛くないなど新しい装置になっています。
アンカースクリュー(大人)
治療期間が短縮できます。
今まで動かすのが困難だった方向にも歯を動かすことが出来ます。取り外し装置は使いません。
PAGE TOP